Other Problems
Mismatched Jaws
Short lower jaw:


- When the lower jaw has grown too short relative to the upper jaw it will usually appears that the upper front teeth are sticking out too far and the front teeth overlap vertically more than normal so the lower front teeth are mostly covered by the upper front teeth.
 - The profile will show a weak or retrusive chin, a convex profile and the side teeth do not fit well. This is by far the most common mismatch of jaw growth.
 - Sometimes when the lower jaw has grown too short relative to the upper jaw the upper front teeth are not protrusive but are tipped back and overlap the lower front teeth very deeply.
 - The profile shows a weak or retrusive chin, a convex profile and the side teeth do not fit well.
 
Short upper jaw:

.jpg)
- 
	
When the upper jaw is too short relative to the lower jaw it will appear that the lower teeth are sticking out too far and the profile will show a strong or protrusive chin with a straight profile.
 - 
	
This is a relatively rare mismatch of jaw growth. This often results in an underbite or anterior crossbite, where the lower front teeth are ahead of the upper front teeth instead of the other way around.
 
Narrow upper jaw:


- When the upper jaw is too narrow relative to the lower jaw the side teeth can go into crossbite with the lower teeth on one side or sometimes both sides.
 - The upper side teeth are normally further out towards the cheeks than the lower side teeth.
 - When these side teeth are in crossbite the lower side teeth are further out towards the cheeks than the upper side teeth.
 
These various examples of mismatched jaws are often due to an orofacial myofunctional disorder.
Crowded Teeth


- Crowding is the most common reason for teeth being crooked.
 - Crowding can be the result of the early loss of baby teeth, missing teeth, or extra teeth.
 - Crowding can also be the result of poorly growing jaws that are too small due to an orofacial myofunctional disorder such as an abnormal tongue posture, an abnormal swallow, or a poor oral habit such as sucking on a pacifier, thumb, finger, blanket, or stuffed toy.
 - Crowding can occasionally be due to unusually large teeth.
 - Crooked teeth as a result of crowding is the most common reason that people seek orthodontic treatment.
 
Spaced Teeth


- Spacing between the teeth is usually the result of the teeth being too small to match the size of the jaws.
 - There is a strong genetic component to tooth size, so spaced teeth often “runs in the family”. This is a fairly rare orthodontic problem.
 - Spacing at the centre of the upper front teeth can be due to a low frenum attachment. The frenum is a narrow strip of tissue inside the upper lip that normally attaches above the upper front teeth at the centre. When it attaches lower down between the teeth it can keep the teeth apart. There is a strong genetic component to a low frenum attachment.
 - Spacing between the front teeth can also be due to a tongue thrust.
 - A tongue thrust is an abnormal swallow in which the tongue thrusts forward against the back of the front teeth upon swallowing.
 - When there is a tongue thrust, the tongue tends to rest habitually against the back of the front teeth. The continuous light pressure of the tongue against the back of the front teeth gradually tips them forward and spreads them apart.
 
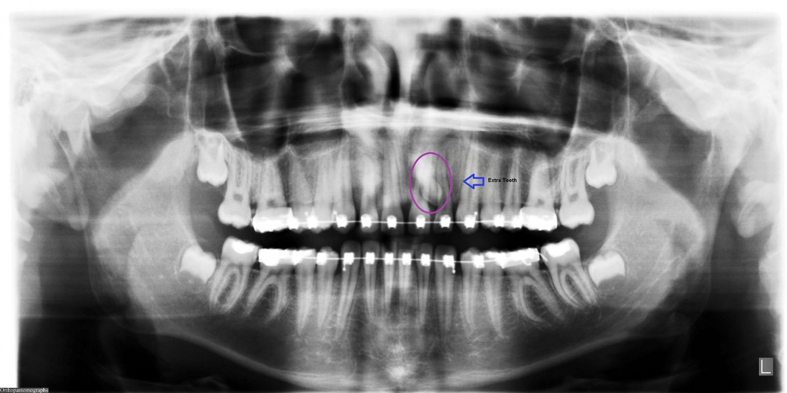
Extra Teeth

- It is fairly rare that there are extra teeth (also known as supernumerary teeth).
 - One of the most common areas that this occurs is at the second from the centre teeth on the upper teeth (upper lateral incisors).
 - When there are extra teeth, it is simply due to genetics and it will cause severe crowding if such an extra tooth is allowed to stay in the mouth.
 - Normally an extra tooth will be removed as soon as is practical.
 - Another common area for extra teeth is at the wisdom teeth (third molars).
 
Missing Teeth


- Permanent (adult) teeth can be missing due to trauma or decay or they can be congenitally missing (never developed).
 - When a tooth is missing, the adjacent teeth tend to move into the space of the missing tooth, which causes problems with how the teeth fit overall.
 - Missing teeth are fairly common and this usually causes considerable difficulty in orthodontic treatment.
 - The common areas where teeth are congenitally missing are the second from centre upper teeth (upper lateral incisors) and the lower teeth just before the molars (lower second premolars).
 - When a lateral incisor is congenitally missing it is common for the matching lateral incisor to also be missing or, if present, it is smaller than normal and often “peg shaped”.
 - Sometimes the baby teeth can remain in the place of the missing adult teeth but often the baby teeth will fall out and the adjacent adult teeth shift into the gap.
 - The decision must be made as to whether the space of the missing teeth should be maintained for future replacement with an implant or if the space can be closed with orthodontic treatment while providing a normal and functional bite.
 
Gummy Smile


- A gummy smile is when excessive gum tissue shows upon smiling.
 - This is normally the result of the jaws growing downward more than normal and results in the exposure of excessive gum tissue.
 - Such excessive downward growth of the jaws is often a consequence of an orofacial myofunctional disorder and often in conjunction with mouth breathing.
 - A gummy smile can also be the result of the gum tissue covering more of the upper front teeth than normal even though the growth of the jaws has not been excessively downward. This makes the teeth look shorter than normal.
 - This can often be resolved by a crown lengthening procedure done by a periodontist to move the gum tissue up and expose more of the natural tooth crown.
 
Impacted Teeth

- An impacted tooth is one that, although developing normally, has not been able to grow (erupt) into position. This is usually due to lack of space to erupt into. This lack of space is generally due to poor growth of the jaws.
 - The wisdom teeth are the most common teeth to be impacted. Impacted wisdom teeth rarely have a significant effect on the bite and any problems with impacted wisdom teeth are usually resolved by removal of these teeth.
 - The impaction of upper canines is fairly common and is usually due to insufficient space for them to erupt into. This is usually due to poor growth of the jaw and is often the result of an orofacial myofunctional disorder.
 - Sometimes these impacted canines stay impacted and other times they erupt into the mouth either in the palate or towards the lip.
 - Teeth adjacent to the spaces where the impacted canines should erupt tend to shift into the space resulting in poor fit of the bite.
 - Orthodontic treatment is almost always required to bring impacted canines into place properly. A surgical procedure is often necessary to expose the impacted tooth and glue an attachment to it so that it can be moved into place using braces.
 - Other teeth can be impacted although this is fairly rare.
 
Facial Imbalance
- Facial imbalance can be due to a short lower jaw, a short upper jaw, or a downward direction of growth for both upper and lower jaws.
 - Although there is a genetic component to these facial imbalances they are also often partially the result of an orofacial myofunctional disorder including abnormal tongue rest posture, abnormal swallow, mouth breathing and chronic open mouth posture.
 - When the lower jaw has not grown forward enough to match the upper jaw the chin is set too far back which creates what most would consider an unattractive profile. This is the most common facial imbalance that occurs.
 - When the upper jaw has not grown forward enough to match the lower jaw the profile is straight or even a bit concave and the chin appears overly prominent. The cheek bones have not developed well with the result that the face appears flat under the eyes. This is not a very common facial imbalance.
 - When both upper and lower jaws have grown downward more than normal the lower face appears overly long. It is common with this facial imbalance that there is a chronic open mouth posture. It is also common for excess gum tissue to show on smiling. With this growth pattern, the lips often have to strain to close together which prevents a pleasant relaxed facial appearance when the lips are closed.
 
Facial Asymmetry
- Facial asymmetry can be a result of a number of things including syndromes, cleft palate, jaw joint degeneration, trauma, poor fit of the bite, poorly growing jaws, and poor function.
 - Poor fit of the bite and poorly growing jaws can be due to orofacial myofunctional disorders including improper tongue rest position, improper swallow, mouth breathing, and poor oral habits.
 - When the upper jaw grows too narrow to match the lower jaw, the lower jaw shifts to the right or left so the teeth can actually function. This creates a crossbite of the side teeth on the right or left. This is a fairly common facial asymmetry.
 - Sometimes one side of the face does not grow as much as the other side. The eye or ear on one side of the face are lower than the other side. In such a case there is some interruption of the normal development of the face that can be due to an orofacial myofunctional disorder.
 - A relatively common facial asymmetry is when the nose has had some trauma and it has not healed in symmetry with the face.
 - Another asymmetry of the face is when the lips are positioned differently on one side compared to the other either at rest or during a smile. This is typically due to an orofacial myofunctional disorder.
 - A difference in the growth of the jaws on one side compared to the other has been attributed, by some, to the habit of chewing consistently only on one side.
 
Jaw Joint Discomfort
- Jaw joint discomfort is often called TMJ. The proper term for abnormalities with the jaw joints is temporomandibular disorder or TMD. TMJ is the abbreviation for the name of the joint, which is temporomandibular joint.
 - TMD can be the result of numerous things including, but not limited to, trauma, muscle imbalance, posture, poor bite, arthritis, and stress.
 - Unfortunately, there is not a specialty in TMD and facial pain, although there is some movement in the dental profession to develop such a specialty. At this time some general dentists, periodontists, prosthodontists, and orthodontists treat TMD and facial pain.
 - TMD is sometimes the result of an orofacial myofunctional disorder and significant relief can be obtained with orofacial myofunctional therapy.
 - Sometimes orthodontic treatment can be of benefit in treating TMD and at times other therapies such as chiropractic treatment, physiotherapy, osteopathy, psychological counseling, or other therapies are more appropriate.